Current Projects and Grants
Projects
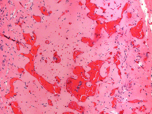
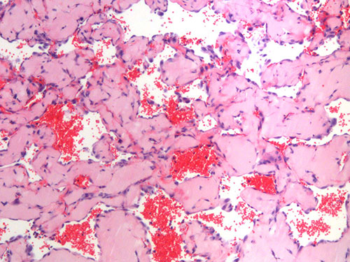
1) Diagnostic biomarker identification and analysis for vascular anomalies
2) Human patient-derived cell xenograft models of vascular anomalies
3) Mouse models of vascular anomalies
4) Therapeutic targeting of vascular anomalies
Grants
1. NIH R01 HL156866
PI: Le Cras
01/01/2022-12/31/2025
“Pathogenesis and Treatment of Kaposiform Lymphangiomatosis“
The major goals of this project are to test the hypothesis that the somatic p.Q61R NRAS mutation in human endothelial cells drives the pathogenesis of KLA and elevated production of ANGPT2.







